A combination of nonspecific symptoms, including back pain and weight loss, should alert physicians to the possibility of multiple myeloma. Still, the recognition of symptom patterns…
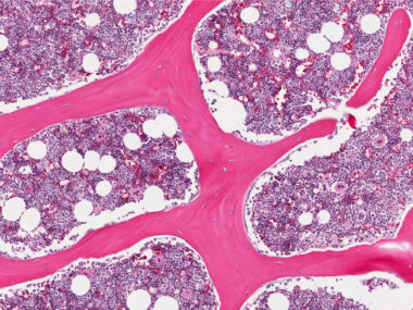
Myeloma is a rare blood cancer that begins in plasma cells, a type of white blood cell normally responsible for producing antibodies that help fight off infectious pathogens and other threats.
While myeloma treatment can drive the disease into remission, sometimes for long periods of time, the cancer will often come back after a few months or years, and additional treatments will be needed.
A combination of nonspecific symptoms, including back pain and weight loss, should alert physicians to the possibility of multiple myeloma. Still, the recognition of symptom patterns…
The U.S. Food and Drug Administration (FDA) has approved Darzalex (daratumumab), in combination with Revlimid (lenalidomide) and dexamethasone, or Velcade (bortezomib) and dexamethasone, for multiple…
Multiple myeloma patients taking the immunomodulatory drug thalidomide may develop a potentially life-threatening dermatologic disorder called toxic epidermal necrolysis (TEN), according to a recent case…
Combining three well-known oral drugs shows potential for heavily pretreated multiple myeloma patients who have grown resistant to therapy with one of the included drugs, according…
Adding the proteasome inhibitor Kyprolis (carfilzomib) to the standard two-drug regimen of Revlimid (lenalidomide) and dexamethasone significantly improves health-related quality of life in relapsed multiple…
The anti-CD38 agent Darzalex (daratumumab) will be investigated in a Phase 3 clinical trial in combination with Kyprolis (carfilzomib) and Decadron (dexamethasone) in relapsed/refractory multiple…
Don't have an account?
|
Already have an account?
Create your account by filling in the information below:
By creating an account, you are agreeing to the Privacy Policy and Terms of Service.